کرونوس – دانشمندان در آبهای ساحلی اوآهو در هاوایی ویروسی را کشف کردهاند که ویژگیهای عجیبی دارد.
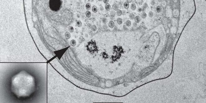
تحقیقات این گروه از متخصصین دانشگاه هاوایی که در Virology منتشر شده ویروسی به نام TetV-1 را مورد بحث قرار میدهد که جلبکی تکسلولی است. این ویروس آنقدر بزرگ است که از حیث اندازه از باکتریها جلو میزند و در دستهی «ویروسهای بزرگ» جا میگیرد. در طی ۱۵ سال گذشته چندین مورد از این ویروسها کشف شدهاند و هر بار اندازهی آنها بزرگتر بوده است.
یکی از نویسندگان این مطالعه میگوید: «بیشتر ویروسها آنقدر کوچکاند که برای دیدن آنها به میکروسکوپ الکترونی نیاز است. اما این ویروسها اندازهای بزرگتر از باکتری داشته و ژنوم آنها حاوی کدهایی است که به آنها کاراییهایی متفاوت از دیگر ویروسها میدهد.»
در طی این مطالعه، گروه ژنوم ویروس فوقالذکر را بررسی کردند و متوجه شدند بسیاری از ژنهای آن با تتراسلمیسها (نوعی فیتوپلانکتون) شباهت زیادی دارد. دو تا از این ژنها مربوط به روند تخمیر هستند؛ روندی که میکروارگانیسمها از طریق آن قند را به انرژی تبدیل میکنند.
هنوز مشخص نیست چرا این ویروس چنین ژنهایی دارد، اما احتمال دارد دلیل تبدیل شدن رنگ آبی دریا به سبز به دلیل وجود همین جلبک باشد. لذا ژنهای تخمیرکننده به TetV این امکان را میدهد که با خانه کردن در جلبکها، بتوانند در آبهایی با مقدار اکسیژن پایین زنده بمانند.
گروه در مقالهشان مینویسند: «ژنوم TetV، بلندترین ژنوم یک ویروس است که تابهحال به ثبت رسیده. این ویروس ارگانیسمهای فوتوسنتزی را اشغال کرده و ژنهای آن مکانیزم عجیبی دارند که از طریق آنها متابولیسم میزبانشان را دستکاری میکنند.»

مطالعه بر روی ویروسهایی از این دست از اهمیت فوقالعادهای برخوردار است چراکه این ویروسها تأثیر زیادی بر روی منبع غذایی حیوانات دارند. آنها با نفوذ به جمعیت فیتوپلانکتونها موجب تجزیه و جدا شدن سلولهای آنها میشوند. تتراسلمیس خود یک منبع خوب غذایی و همچنین منبع نشاسته برای صنایع بیوسوختی است.
یکی از محققین میگویند: «این اصلاً خوب نیست. اما ویروسها، تعادل اکوسیستم آبی را حفظ میکنند. ویروسها در نقاطی که تراکم جمعیت در آنها بیشتر است فعالتر بوده و اگر نوعی فیتوپلانکتون سریعتر از بقیه رشد کند و شروع به تسخیر محیط کند، توسط زیردستیها آلوده شده و این به گونههای دیگر امکان زیست میدهد.»
گروه در حال آمادهسازی آزمایشهایی است که نظریهی آنان را در مورد ژن ویروسها مورد تأیید قرار دهند، اما آنطور که خودشان اذعان میکنند، هنوز میلیونها ویروس ناشناخته وجود دارند که باید کشف شوند.
کرونوس کانال دانش و علوم به زبان فارسی – اخبار علمی و تحلیل